矯正症例集|藤原歯科医院|奈良県大和高田市の歯医者・歯科

〒635-0082
奈良県大和高田市本郷町4-30
0745-51-0314
WEB予約
ヘッダー画像

矯正症例集

矯正症例集|藤原歯科医院|奈良県大和高田市の歯医者・歯科

アライナーを使った矯正

 

 

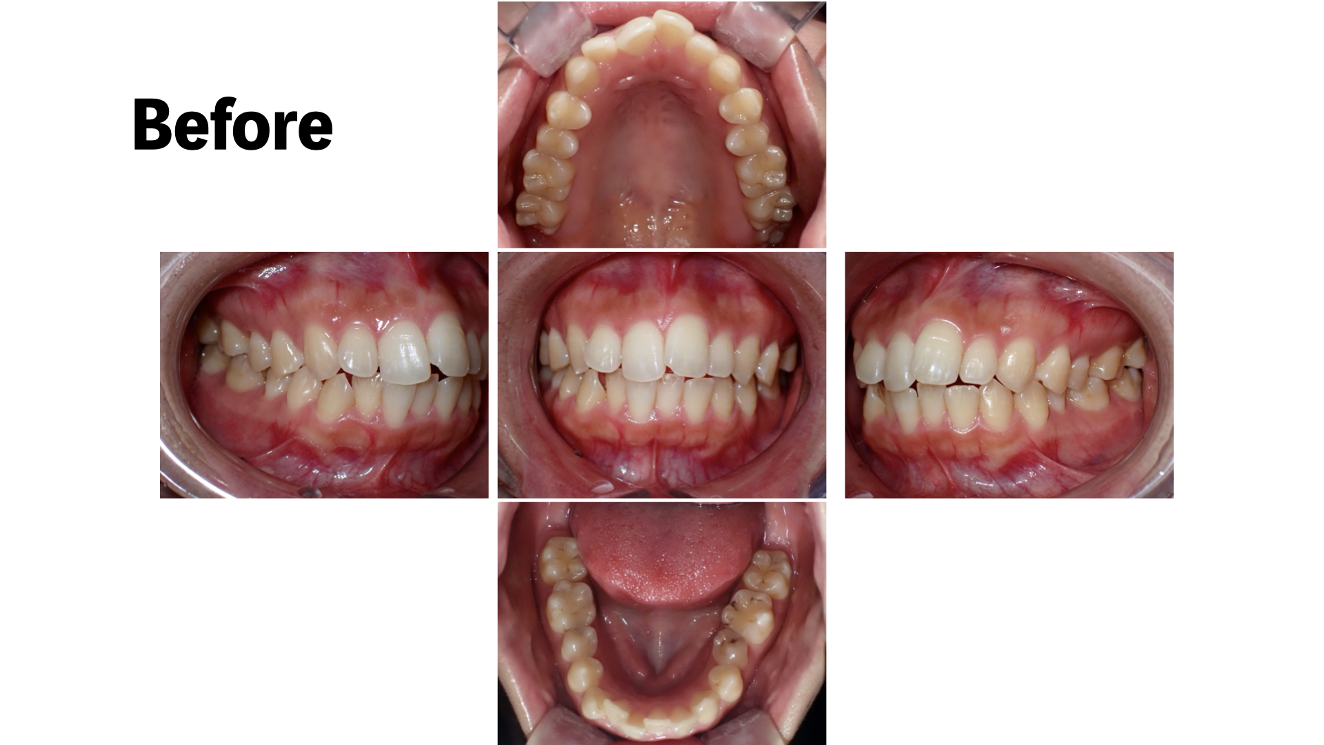
治療内容

歯並びが気になると来院されました。叢生量、噛み合わせからアライナー単独での矯正を行いました。その他、歯周治療やむし歯治療なども並行して行いました。

治療期間・回数 半年 6回(矯正のみ、歯周治療などは別)
費用【自由診療】 部分矯正¥660,000(税込)(矯正のみ、歯周治療などは別)
リスク・副作用 アライナーで動かず、ワイヤーに変わることがあります。思った通りにならない場合があります。移動には痛みが伴います。歯根が短くなることがあります。歯の寿命が短くなる場合があります。移動後はアライナーという移動防止の装置をつけていただく必要があります。後戻りする場合があります。

治療内容

歯並びが気になると来院されました。ワイヤーでの矯正を行いました。

治療期間・回数 半年 6回
費用【自由診療】 部分矯正¥165,000(税込)
リスク・副作用 思った通りにならない場合があります。移動には痛みが伴います。歯根が短くなることがあります。歯の寿命が短くなる場合があります。移動後はアライナーという移動防止の装置をつけていただく必要があります。後戻りする場合があります。

 

 

治療内容

歯並びが気になると来院されました。叢生量、噛み合わせからアライナー単独での矯正を行いました。

治療期間・回数 半年 6回
費用【自由診療】 部分矯正¥660,000(税込)
リスク・副作用 アライナーで動かず、ワイヤーに変わることがあります。思った通りにならない場合があります。移動には痛みが伴います。歯根が短くなることがあります。歯の寿命が短くなる場合があります。移動後はアライナーという移動防止の装置をつけていただく必要があります。後戻りする場合があります。

 

治療内容

むし歯ができているとご来院されました。歯並びによる清掃不良が原因なので、矯正とむし歯治療を行いました。

治療期間・回数 半年 8回
費用【自由診療】 部分矯正¥165,000 根管治療¥132,000 ジルコニアクラウン¥165,000 合計¥462,000(税込)
リスク・副作用 思った通りにならない場合があります。移動には痛みが伴います。歯根が短くなることがあります。歯の寿命が短くなる場合があります。移動後はリテーナーという移動防止の装置をつけていただく必要があります。後戻りする場合があります。

 

治療内容

歯並びが気になると来院されました。叢生量、噛み合わせからアライナー単独での矯正を行いました。

治療期間・回数 半年 6回
費用【自由診療】 部分矯正¥660,000(税込)
リスク・副作用 アライナーで動かず、ワイヤーに変わることがあります。思った通りにならない場合があります。移動には痛みが伴います。歯根が短くなることがあります。歯の寿命が短くなる場合があります。移動後はアライナーという移動防止の装置をつけていただく必要があります。後戻りする場合があります。

 

治療内容

左上2番目の歯が気になるとのことでした。マルチブラケットを使ったワイヤーでの矯正を行いました。

治療期間・回数 3ヶ月 3回
費用【自由診療】 部分矯正¥165,000(税込)
リスク・副作用 アライナーで動かず、ワイヤーに変わることがあります。思った通りにならない場合があります。移動には痛みが伴います。歯根が短くなることがあります。歯の寿命が短くなる場合があります。移動後はリテーナーという移動防止の装置をつけていただく必要があります。後戻りする場合があります。

 

治療内容

歯並びが気になると来院されました。叢生量、噛み合わせからアライナー単独での矯正を行いました。

治療期間・回数 半年 6回
費用【自由診療】 部分矯正¥660,000(税込)
リスク・副作用 アライナーで動かず、ワイヤーに変わることがあります。思った通りにならない場合があります。移動には痛みが伴います。歯根が短くなることがあります。歯の寿命が短くなる場合があります。移動後はアライナーという移動防止の装置をつけていただく必要があります。後戻りする場合があります。

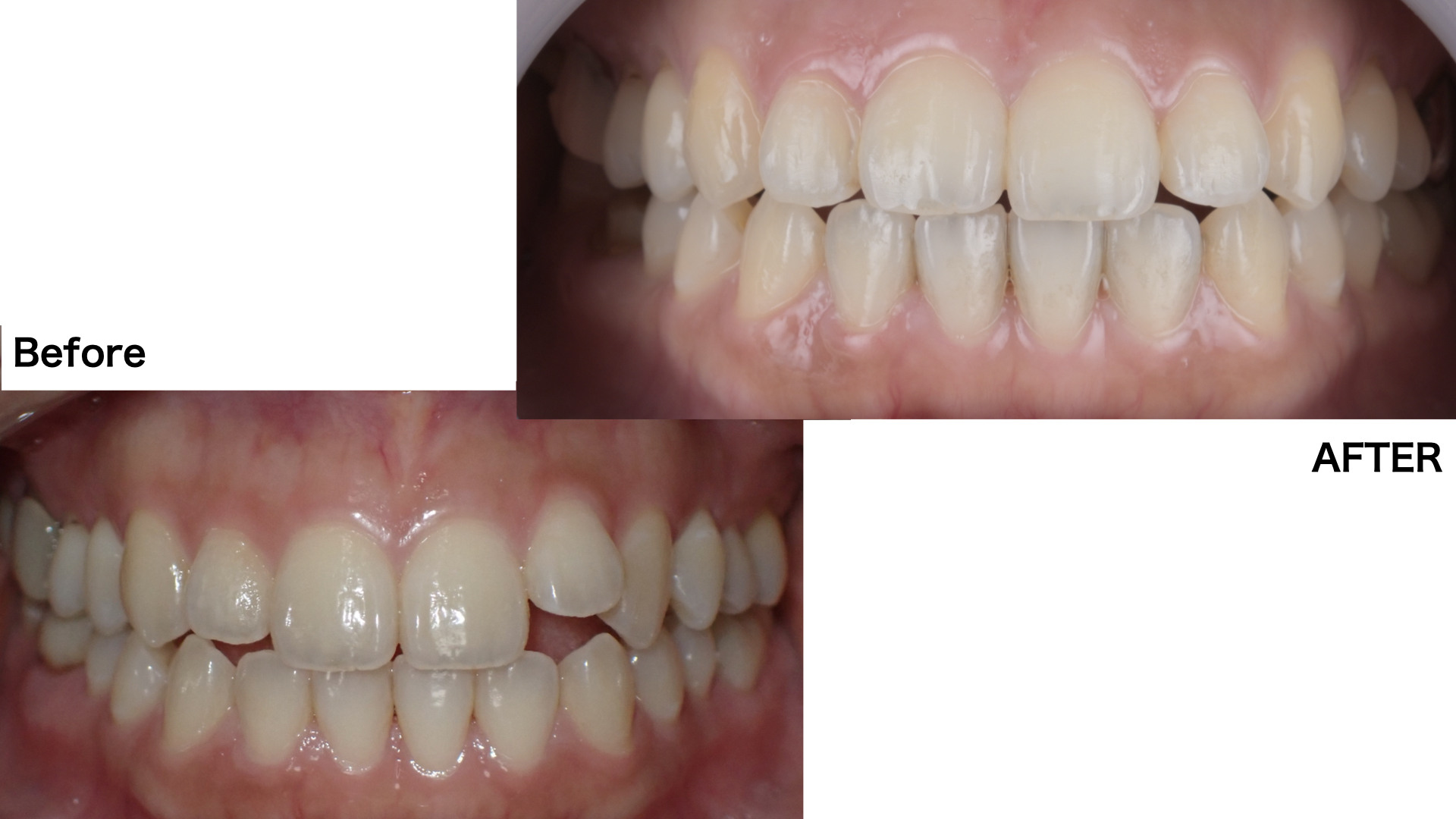
アライナーを使った部分矯正の症例

 

治療内容

歯並びが気になると来院されました。叢生量、噛み合わせからアライナー単独での矯正を行いました。

治療期間・回数 半年 6回
費用【自由診療】 部分矯正¥550,000(税込)
リスク・副作用 アライナーで動かず、ワイヤーに変わることがあります。思った通りにならない場合があります。移動には痛みが伴います。歯根が短くなることがあります。歯の寿命が短くなる場合があります。移動後はアライナーという移動防止の装置をつけていただく必要があります。後戻りする場合があります。