ダイレクトボンディング症例
ダイレクトボンディング症例

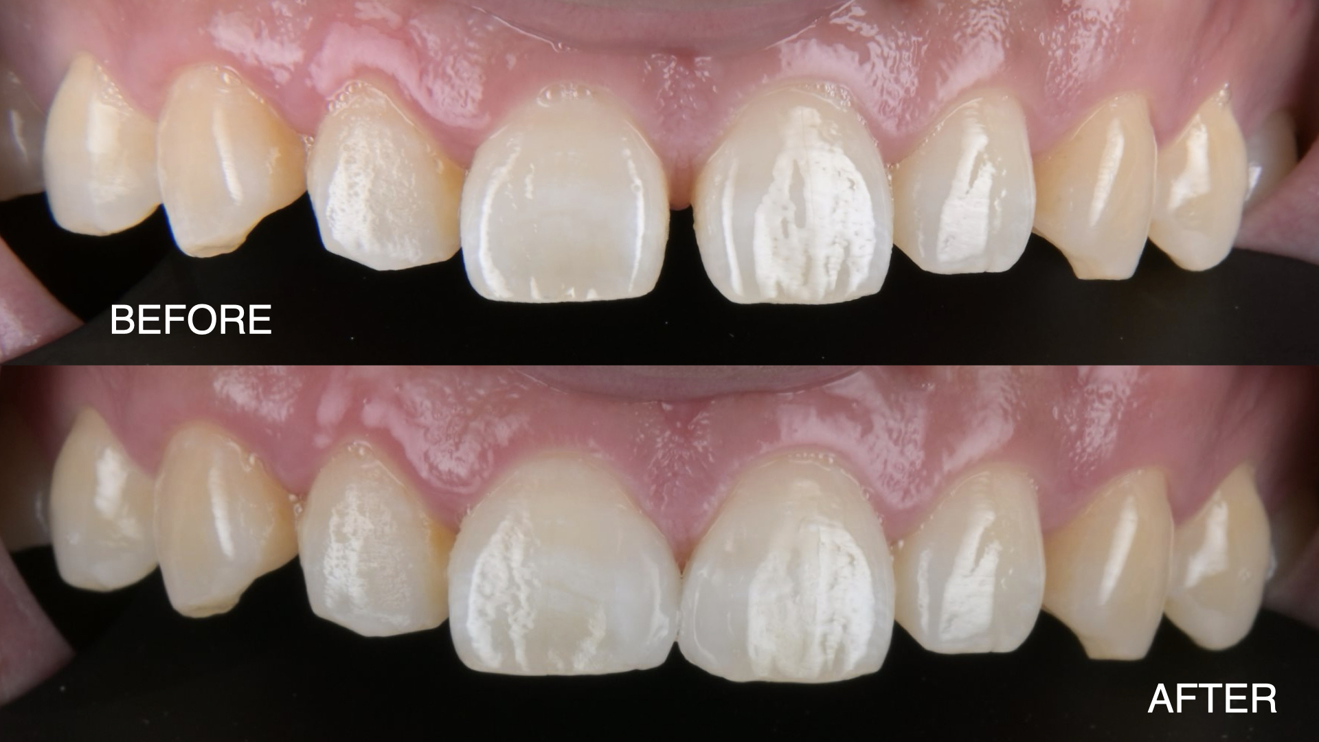
| 治療内容 |
前歯の隙間が気になるとのことでした。矯正・クラウン・ラミネートベニアの選択肢も説明しましたが、1回で終わるダイレクトボンディングでの修復を選択されました。ラバーダム防湿を行いました。歯の表面に接着処置をし、プラスチックで修復しました。形態修正、咬合調整、研磨を即日に行いました。 |
| 治療期間・回数 | 1日・1回 |
| 費用【自由診療】 | ¥132,000(税込) |
| 副作用・リスク | プラスチックなので劣化することがあります。割れることがあります。外れることがあります。満足のいく仕上がりにならないことがあります。違和感や痛みが出る可能性があります。 |

| 治療内容 |
前歯の隙間が気になるとのことでした。矯正・クラウン・ラミネートベニアの選択肢も説明しましたが、遠方のため1回で終わるダイレクトボンディングでの修復を選択されました。ラバーダム防湿を行いました。歯の表面に接着処置をし、プラスチックで修復しました。形態修正、咬合調整、研磨を即日に行いました。 |
| 治療期間・回数 | 1日・1回 |
| 費用【自由診療】 | ¥220,000(税込) |
| 副作用・リスク | プラスチックなので劣化することがあります。割れることがあります。外れることがあります。満足のいく仕上がりにならないことがあります。違和感や痛みが出る可能性があります。 |

| 治療内容 |
症状はなかったのですが、精密検査でむし歯を見つけました。大きいためインレー、クラウン修復を説明しましたが、ダイレクトボンディングを選択されました。ラバーダム防湿を行いました。う蝕を除去後、歯の表面に接着処置をし、プラスチックで修復しました。形態修正、咬合調整、研磨を即日に行いました。 |
| 治療期間・回数 | 1日・1回 |
| 費用【自由診療】 | ¥66,000(税込) |
| 副作用・リスク | プラスチックなので劣化することがあります。割れることがあります。外れることがあります。満足のいく仕上がりにならないことがあります。違和感や痛みが出る可能性があります。 |

| 治療内容 |
むし歯が気になるとのことでご来院していただきました。検査時にむし歯がありました。今回はダイレクトボンディングを行いました。麻酔を行い、ラバーダム防湿を行いました。感染の除去をし、表面の接着処置をし、プラスチックで修復しました。形態修正、咬合調整、研磨を即日に行いました。 |
| 治療期間・回数 | 1日・1回 |
| 費用【自由診療】 | ¥66,000(税込) |
| 副作用・リスク | プラスチックなので劣化することがあります。割れることがあります。外れることがあります。満足のいく仕上がりにならないことがあります。違和感や痛みが出る可能性があります。 |

| 治療内容 |
むし歯が気になるとのことでご来院していただきました。検査時にむし歯がありました。今回はダイレクトボンディングを行いました。麻酔を行い、ラバーダム防湿を行いました。感染の除去をし、表面の接着処置をし、プラスチックで修復しました。形態修正、咬合調整、研磨を即日に行いました。 |
| 治療期間・回数 | 1日・1回 |
| 費用【自由診療】 | ¥66,000(税込) |
| 副作用・リスク | プラスチックなので劣化することがあります。割れることがあります。外れることがあります。満足のいく仕上がりにならないことがあります。違和感や痛みが出る可能性があります。 |

| 治療内容 |
前歯の白いところが気になるとのことでした。今回は裏側にもむし歯があり、一緒にダイレクトボンディングを行いました。麻酔を行い、ラバーダム防湿を行いました。古い詰め物と感染の除去をし、表面の接着処置をし、プラスチックで修復しました。形態修正、咬合調整、研磨を即日に行いました。 |
| 治療期間・回数 | 1日・1回 |
| 費用【自由診療】 | ¥110,000(税込) |
| 副作用・リスク | プラスチックなので劣化することがあります。割れることがあります。外れることがあります。満足のいく仕上がりにならないことがあります。違和感や痛みが出る可能性があります。 |

| 治療内容 |
前歯の審美不良をお話したところ変えたいとのとこでした。今回は右上の3つ目から左上の1つ目までのダイレクトボンディングを行いました。麻酔を行い、ラバーダム防湿を行いました。古い詰め物と感染の除去をし、表面の接着処置をし、プラスチックで修復しました。形態修正、咬合調整、研磨を即日に行いました。 |
| 治療期間・回数 | 1日・1回 |
| 費用【自由診療】 | ¥154,000(税込) |
| 副作用・リスク | プラスチックなので劣化することがあります。割れることがあります。外れることがあります。満足のいく仕上がりにならないことがあります。違和感や痛みが出る可能性があります。 |

| 治療内容 |
歯茎の出血が気になるとのことでご来院していただきました。検査時に不適合のインレーがありました。磨き残しの原因になるので除去し、今回はダイレクトボンディングを行いました。麻酔を行い、ラバーダム防湿を行いました。インレーと感染の除去をし、表面の接着処置をし、プラスチックで修復しました。形態修正、咬合調整、研磨を即日に行いました。 |
| 治療期間・回数 | 1日・1回 |
| 費用【自由診療】 | ¥55,000(税込) |
| 副作用・リスク | プラスチックなので劣化することがあります。割れることがあります。外れることがあります。満足のいく仕上がりにならないことがあります。違和感や痛みが出る可能性があります。 |

| 治療内容 |
歯の変色が気になるということでご来院していただきました。右上の2番目から反対の1番目の歯までのダイレクトボンディングの治療とラミネートベニアを提案しました。今回は低侵襲のダイレクトボンディングを選択していただきました。麻酔を行い、ラバーダム防湿を行いました。表面の接着処置をし、プラスチックで修復しました。形態修正、咬合調整、研磨を即日に行いました。 |
| 治療期間・回数 | 1日・1回 |
| 費用【自由診療】 | ¥99,000(税込) |
| 副作用・リスク | プラスチックなので劣化することがあります。割れることがあります。外れることがあります。満足のいく仕上がりにならないことがあります。違和感や痛みが出る可能性があります。 |

| 治療内容 |
前歯の着色が気になるとのことでご来院していただきました。小さな修復なのでダイレクトボンディングの治療を提案しました。麻酔を行い、ラバーダム防湿を行いました。古い詰め物とむし歯の除去を行いました。表面の接着処置をし、プラスチックで修復しました。形態修正、咬合調整、研磨を即日に行いました。 |
| 治療期間・回数 | 1日・1回 |
| 費用【自由診療】 | ¥132,000(税込) |
| 副作用・リスク | プラスチックなので劣化することがあります。割れることがあります。外れることがあります。満足のいく仕上がりにならないことがあります。違和感や痛みが出る可能性があります。 |


| 治療内容 |
歯と歯の間の隙間が気になるとのことでご来院していただきました。矯正・ラミネートベニア・ダイレクトボンディングの治療を提案しました。今回は低侵襲のダイレクトボンディングを選択していただきました。麻酔を行い、ラバーダム防湿を行いました。表面の接着処置をし、プラスチックで修復しました。形態修正、咬合調整、研磨を即日に行いました。 |
| 治療期間・回数 | 1日・1回 |
| 費用【自由診療】 | ¥110,000(税込) |
| 副作用・リスク | プラスチックなので劣化することがあります。割れることがあります。外れることがあります。満足のいく仕上がりにならないことがあります。違和感や痛みが出る可能性があります。 |


| 治療内容 |
古い詰め物が気になるとご来院していただきました。今回は小さいので低侵襲のダイレクトボンディングを提案しました。麻酔を行い、ラバーダム防湿を行いました。表面の接着処置をし、プラスチックで修復しました。形態修正、咬合調整、研磨を即日に行いました。 |
| 治療期間・回数 | 1日・1回 |
| 費用【自由診療】 | ¥33,000(税込) |
| 副作用・リスク |
プラスチックなので劣化することがあります。割れることがあります。外れることがあります。満足のいく仕上がりにならないことがあります。違和感や痛みが出る可能性があります。 |